מה גורם לדלקות חניכיים ולכאבים נלווים

במרפאתנו, אנו פוגשים מדי יום מטופלים שמגיעים עם תסמינים כמו דימום בעת הצחצוח, ריח רע מהפה, רגישות או כאבים באזור החניכיים. רבים מהם מופתעים לגלות שהגורם לתסמינים הללו הוא דלקת חניכיים – מצב שכיח אך חשוב לאבחן ולטפל בו בזמן.

מהי דלקת חניכיים?

דלקת חניכיים היא תגובה דלקתית של רקמת החניכיים לרוב כתוצאה מהצטברות רובד חיידקי (פלאק) סביב קו החניכיים והשיניים. כאשר הפלאק אינו מוסר באופן יומיומי, הוא מתקשה והופך לאבנית – מצע שמזין את החיידקים ומוביל להחמרת הדלקת

דלקת חניכיים כאבים – גורמים מרכזיים

אחד הגורמים השכיחים ביותר הוא היגיינת פה לקויה – כאשר לא מצחצחים שיניים כראוי ולא משתמשים בחוט דנטלי, הפלאק מצטבר וגורם לדלקת. עם זאת, קיימים גורמים נוספים שיכולים להחמיר את המצב:

  • עישון, שפוגע בזרימת הדם לחניכיים ומאט את תהליך הריפוי
  • שינויים הורמונליים, כגון הריון או גיל ההתבגרות
  • מחלות מערכתיות כמו סכרת
  • תזונה לא מאוזנת ודלה בוויטמינים
  • סטרס ומתח נפשי שפוגעים בתפקוד המערכת החיסונית
  • נטייה גנטית – חלק מהמטופלים רגישים יותר למחלות חניכיים

מה גורם לכאבים הנלווים לדלקת חניכיים?

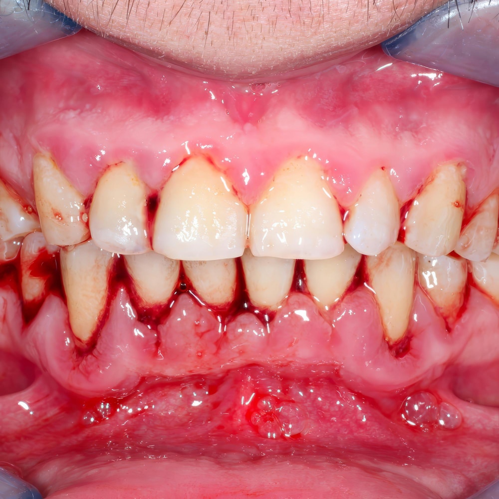
כאבים כתוצאה מדלקת חניכיים מופיעים לרוב כאשר הדלקת מתקדמת ולא מטופלת. התסמינים יכולים לכלול:

  • רגישות באזור החניכיים בעת לעיסה
  • נפיחות ואדמומיות שמלווים בדקירות קלות או כאבים קבועים
  • דימום בזמן הצחצוח או אכילה
  • ריח רע מהפה או טעם מתכתי

מתי יש לפנות למומחה למחלות חניכיים?

בשלבים המוקדמים, ניתן לעצור את הדלקת באמצעות טיפול שיננית נכון, צחצוח יעיל והדרכה אישית. אולם כאשר הדלקת מתקדמת, יש צורך בטיפול של מומחה למחלות חניכייםהמומחה מבצע אבחנה מעמיקה, מדידות כיסים סביב השיניים, ולעיתים גם צילומים תומכים כדי לאתר את מוקדי הדלקת.

במקרים מתקדמים, אנו משלבים טיפולים כמו ניקוי עמוק של כיסי החניכיים, טיפולי לייזר, ולעיתים אף ניתוחים פלסטיים חניכיים לשיקום הרקמה שנפגעה.

אנחנו כאן בשבילכם

במרפאת ד"ר קלריסה מור-גן אנו מאמינים בטיפול יסודי, מקצועי ורגיש. עם צוות מיומן ומומחה למחלות חניכיים מן השורה הראשונה, נעניק לכם את המעטפת הרפואית המלאה. אם אתם חווים דלקת חניכיים כאביםנפיחות, דימום או רגישות – אל תחכו לרגע האחרון. בואו לאבחון מקצועי ולבניית תכנית טיפול מותאמת אישית.

צרו איתנו קשר עוד היום לקביעת תור ובואו להחזיר את החיוך הבריא לפנים!

שעות פעילות המרפאה: