מאמרים
אבנית בשן – למה זה קורה
אבנית בשן: האויב הנסתר של החיוך שלך כולנו רוצים חיוך זוהר ובריא, אבל לעיתים קרובות אנחנו שוכחים שאבנית בשן עלולה לחבל במאמצים שלנו. מהי בכלל
איך ניתן לדעת שהשיננית שלך מקצועית
איך בוחרים שיננית מקצועית? בחירת שיננית מקצועית היא קריטית לשמירה על בריאות הפה והחניכיים. כולנו יודעים שביקור קבוע אצל שיננית הוא חלק בלתי נפרד משגרת
פלואוריד אצל שיננית – למה זה חשוב
החשיבות של פלואוריד בטיפול שיננית טיפול שיננית הוא חלק בלתי נפרד משמירה על בריאות הפה, ואחד המרכיבים החשובים בטיפול זה הוא השימוש בפלואוריד. רבים שואלים
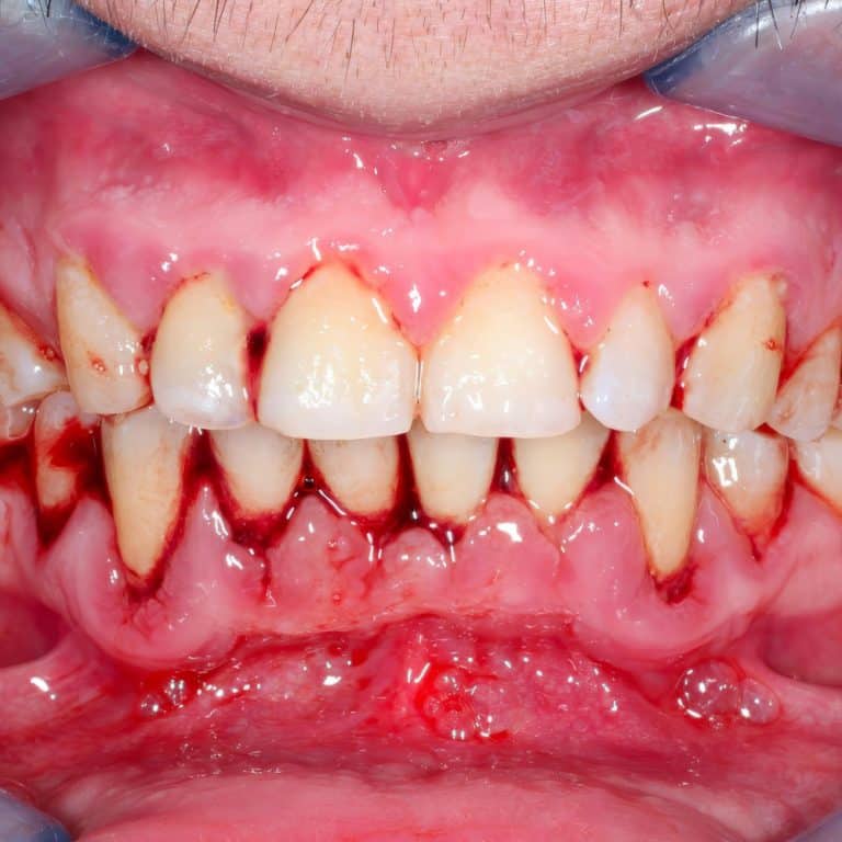
אבנית וריח רע מהפה: הקשר שרבים לא מכירים
הקשר המפתיע בין אבנית לריח רע מהפה ריח רע מהפה הוא בעיה נפוצה ומביכה שיכולה להשפיע על הביטחון העצמי והיחסים החברתיים. רבים מחפשים פתרונות כמו
סימנים שמעידים שאתם זקוקים להקצעת שורשים
מתי הגיע הזמן להקצעת שורשים? אף אחד לא רוצה לשמוע שהוא צריך לעבור טיפול שיניים מורכב, אבל לפעמים זה הכרחי לשמירה על בריאות הפה. הקצעת
שלבי הטיפול בניקוי חניכיים עמוק
מהו ניקוי חניכיים עמוק ולמה הוא נחוץ? כולנו רוצים חיוך בריא ויפה, אבל לפעמים, צחצוח שיניים רגיל אינו מספיק כדי לשמור על בריאות החניכיים. כאן
איך לזהות צורך בניקוי חניכיים עמוק
איך לזהות צורך בניקוי חניכיים עמוק האם החניכיים שלך מדממות כשאת מצחצח שיניים? צריך ניקוי עמוק חניכיים? האם הן נפוחות ואדומות? ייתכן שאתה זקוק לשיננית
כמה זמן מחזיק איטום חריצים באמת?
כולנו רוצים את הטוב ביותר עבור השיניים שלנו, והרבה פעמים אנחנו שומעים על טיפולים שונים שיכולים לשפר את בריאות הפה. אחד הטיפולים הנפוצים הוא איטום
השפעת אבנית על ריח הפה ולמה ניקוי עמוק עוזר
השפעת אבנית על ריח הפה ולמה ניקוי עמוק עוזר אחד הדברים הכי מביכים שיכולים לקרות לנו זה ריח רע מהפה. כולנו חווים את זה מדי
ניקוי שיניים עמוק: איך נראית אבנית על השיניים ומה הסימנים שמצריכים טיפול
אבנית על השיניים היא בעיה נפוצה שיכולה להוביל לבעיות חניכיים ולעששת אם לא מטפלים בה כראוי. אבל איך בכלל נראית אבנית, ואיך יודעים שהגיע הזמן
הבדל בין ניקוי אבנית רגיל להקצעת שורשים
כולנו רוצים חיוך בריא וזוהר, והצעד הראשון לשם כך הוא שמירה על היגיינת פה נאותה. טיפולי שיננית הם חלק בלתי נפרד מהשמירה הזו, אך לעיתים
טיפול בדלקת חניכיים: מגרד קל עד מחלה חמורה
שלבי דלקת חניכיים דלקת חניכיים היא בעיה נפוצה ביותר, אבל רבים לא מודעים לכך שהיא מתפתחת בשלבים, החל מגירוי קל ועד למחלה חמורה שעלולה לגרום
שיננית מומלצת במרכז: המדריך המלא לשמירה על חיוך בריא ואיכות חיים
מחקרים מהשנים האחרונות מוכיחים את הקשר הישיר בין היגיינת פה לקויה לבין מחלות מערכתיות כמו מחלות לב, סוכרת ואפילו סיבוכי היריון. כאן נכנס לתמונה אחד
נסיגת חניכיים בשן אחת: זיהוי, מניעה ודרכי תיקון מתקדמות
מראה השיניים שלנו במראה הוא לעיתים קרובות האינדיקטור הראשון לבריאות הכללית של הפה. לעיתים, במהלך צחצוח השיניים של הבוקר, אנחנו מבחינים בשינוי קטן אך מטריד:
מה גורם לדלקות חניכיים ולכאבים נלווים?
אנו משקיעים רבות באסתטיקה של החיוך, בהלבנת שיניים וביישורן, לעיתים קרובות אנו נוטים לשכוח את ה"יסודות" של הבניין – החניכיים שלנו. החניכיים הן הרקמה התומכת,
אבנית, עששת ודלקת חניכיים חמורה? כך שיננית מומחית תציל את השיניים והחניכיים שלכם
אבנית, עששת ודלקת חניכיים חמורה? כך שיננית מומחית תציל את השיניים והחניכיים שלכם החיוך שלכם הוא כרטיס הביקור שלכם, והבריאות של השיניים והחניכיים משפיעה לא
המפתח לחיוך בריא – הסרת אבנית, מניעת עששת והדרכה אישית להיגיינת הפה
המפתח לחיוך בריא – הסרת אבנית, מניעת עששת והדרכה אישית להיגיינת הפה החיוך שלך הוא כרטיס הביקור שלך. הוא משפיע על הביטחון העצמי, על הרושם
הקצעת שורשים שיננית: המפתח לחניכיים בריאות וחיוך מושלם
הקצעת שורשים שיננית: המפתח לחניכיים בריאות וחיוך מושלם חניכיים בריאות הן הבסיס לחיוך מושלם ולבריאות הפה הכללית. לעיתים, צחצוח שיניים יומיומי ושימוש בחוט דנטלי אינם
שיננית ברמת גן: מניעת עששת, דלקות והדרכה להיגיינת הפה
שיננית ברמת גן: מניעת עששת, דלקות והדרכה להיגיינת הפה אף אחד לא אוהב לבקר אצל רופא השיניים, אבל ביקור קבוע אצל שיננית הוא קריטי לשמירה
להוריד אבנית ולמנוע בעיות חניכיים
להוריד אבנית ולמנוע בעיות חניכיים החיוך שלנו הוא כרטיס הביקור שלנו, והבריאות שלו משפיעה ישירות על הביטחון העצמי ועל איכות החיים שלנו. אחד האתגרים הנפוצים
טיפולי שורש לילדים
כשאנחנו שומעים את המילים טיפולי שורש לילדים, עולה מיד חשש טבעי- איך הילד יתמודד? האם הכאב יימנע? ומהן ההשלכות לטווח הארוך? האמת היא שטיפול שורש
איטום חריצים בשיניים למבוגרים
רובנו מקשרים איטום חריצים לטיפול שמיועד לילדים, אבל האמת היא שגם למבוגרים זה אחד הצעדים החכמים לשמירה על שיניים בריאות. איטום חריצים בשיניים למבוגרים הוא
איך מנקים אבנית בשיניים
אבנית היא אחת הבעיות הנפוצות ביותר בבריאות הפה, וגם אחת המטרידות. היא מצטברת לאט, הופכת את השן למחוספסת, משנה את צבעה ועלולה לגרום לדלקות חניכיים
גרידת חניכיים- מה זה אומר?
כאשר מצטברת אבנית עמוקה מתחת לקו החניכיים, נוצרת דלקת שמחלישה את הרקמות התומכות בשן. במצב כזה, ניקוי רגיל כבר לא מספיק, והרופא עשוי להמליץ על
באיזה מקרים צריך לבצע טיפול חניכיים עמוק
כאשר דלקת חניכיים מתחילה לפגוע ברקמות התומכות בשיניים, רופא השיניים עשוי להמליץ על טיפול חניכיים עמוק. מדובר בטיפול יסודי המבוצע על ידי מומחה לחניכיים במטרה
הקצעת שורשים בלייזר- למי זה מתאים?
במרפאת ד"ר קלריסה מור-גן, המרכז הרב-תחומי לרפואת שיניים ושיקום הפה, אנו מקפידים לשלב בין הטכנולוגיה המתקדמת ביותר לבין יחס אישי, חם ומקצועי. אחד הטיפולים החדשניים
תהליך טיפול פלואוריד אצל שיננית
במרפאת ד"ר קלריסה מור-גן, המרכז הרב-תחומי לרפואת שיניים ושיקום הפה, אנו מאמינים שטיפולי מניעה הם הבסיס לבריאות דנטלית טובה לאורך שנים. אחד מהכלים היעילים והבטוחים
טיפול שיניים עם גז צחוק למבוגרים
במרכז הרב-תחומי לרפואת שיניים ושיקום הפה בניהולה של ד"ר קלריסה מורגן, אנו מאמינים שטיפול שיניים לא צריך להיות חוויה מלחיצה. אנו פוגשים מדי יום מטופלים
האם אפשר למנוע אבנית בשיניים אצל ילדים
במרפאת ד"ר קלריסה מור-גן, המרכז הרב-תחומי לרפואת שיניים ושיקום הפה, אנו שואפים להעניק טיפול מיטבי ומותאם אישית לכל מטופל – החל מהמטופלים הקטנטנים ועד למבוגרים.
שיננית פרטית במרכז
כאשר אנחנו מדברים על בריאות הפה, אין ספק שהשמירה על היגיינה דנטלית נכונה היא הבסיס למניעת בעיות שיניים וחניכיים. במרפאת ד"ר קלריסה מור-גן, המרכז הרב-תחומי
שיננית בגבעתיים
במרפאת ד"ר קלריסה מור-גן, המרכז הרב-תחומי לרפואת שיניים ושיקום הפה, אנו מאמינים שטיפול מונע הוא הבסיס לבריאות הפה – וששיננית מקצועית היא שותפה אמיתית לדרך.
שיוף שיניים ארוכות- איך זה מתבצע
במרפאת ד"ר קלריסה מור-גן, המרכז הרב-תחומי לרפואת שיניים ושיקום הפה, אנו פוגשים לא מעט מטופלים שמוטרדים מהמראה של שיניים ארוכות או לא סימטריות. שיניים ארוכות
האם שיננית זה כואב
במרפאת ד"ר קלריסה מור-גן, המרכז הרב-תחומי לרפואת שיניים ושיקום הפה, אנחנו פוגשים מדי יום מטופלים ששואלים אותנו – האם שיננית זה כואב? השאלה הזו חוזרת
איך מצטברת אבנית בשיניים
במרפאת ד"ר קלריסה מור-גן, המרכז הרב-תחומי לרפואת שיניים ושיקום הפה, אנו פוגשים מטופלים רבים שמודעים לחשיבות של שמירה על היגיינת הפה, אך לא תמיד יודעים
איך מתמודדים עם נסיגת חניכיים בשלבים מוקדמים
במרפאת ד"ר קלריסה מור-גן, המרכז הרב-תחומי לרפואת שיניים ושיקום הפה, אנו מאמינים כי טיפול נכון בשלב מוקדם יכול למנוע סיבוכים מורכבים בעתיד. אחת הבעיות הנפוצות
שיננית בגבעתיים
במרפאת ד"ר קלריסה מור-גן, המרכז הרב-תחומי לרפואת שיניים ושיקום הפה, אנו מאמינים שטיפול מונע הוא המפתח לחיוך בריא לאורך שנים. אחד מהטיפולים החשובים ביותר בתחום
מה ההבדל בין שיננית פרטית לשירות קופ"ח?
במרפאת ד"ר קלריסה מור-גן, המרכז הרב-תחומי לרפואת שיניים ושיקום הפה, אנו פוגשים לא מעט מטופלים שמתלבטים בין טיפול אצל שיננית פרטית לבין פנייה לשירותי השיננית
באיזה גיל אפשר להתחיל טיפול שיננית?
אצלנו במרפאת ד"ר קלריסה מור-גן, אנחנו נשאלים לא פעם – מתי הזמן הנכון להתחיל טיפול שיננית אצל ילדים? מדובר בשאלה חשובה, במיוחד בעידן שבו המודעות
איך מטפלים בדלקת חניכיים שממשיכה לחזור?
במרפאת ד"ר קלריסה מור-גן, המרכז הרב-תחומי לרפואת שיניים ושיקום הפה, אנו פוגשים לא מעט מטופלים שמתמודדים עם בעיה מטרידה ומתסכלת: דלקות חניכיים חוזרות שאינן נפתרות
איטום חריצים בשיניים
במרפאת ד"ר קלריסה מור-גן, המרכז הרב-תחומי לרפואת שיניים ושיקום הפה, אנו מאמינים שמניעה היא המפתח לחיוך בריא לאורך שנים. אחת מהפעולות החשובות ביותר בתחום זה
האם אפשר לעשות שיננית עם גשר
רבים מהמטופלים שלנו במרפאת ד"ר קלריסה מור-גן שואלים אותנו את אותה שאלה חשובה: האם אפשר לעשות שיננית עם גשר? התשובה היא חד משמעית – כן!
האם מותר לעשות שיננית בהריון
במרפאת ד"ר קלריסה מור-גן, המרכז הרב-תחומי לרפואת שיניים ושיקום הפה, אנו פוגשים לא מעט נשים בהריון שמגיעות אלינו עם שאלה אחת מרכזית: האם מותר לעשות
כל מה שצריך לדעת על הקצעת שורשים בלייזר
במרפאת ד"ר קלריסה מור-גן, המרכז הרב-תחומי לרפואת שיניים ושיקום הפה, אנחנו מאמינים בשילוב של ידע מקצועי מתקדם עם טכנולוגיות חדשניות – והקצעת שורשים בלייזר היא
תיקון נסיגת חניכיים ללא ניתוח
במרפאת ד"ר קלריסה מור-גן, המרכז הרב-תחומי לרפואת שיניים ושיקום הפה, אנו נתקלים מדי יום בפציינטים החווים נסיגת חניכיים בדרגות שונות. השאלה שחוזרת על עצמה שוב
מה הגורמים לנסיגה חמורה בחניכיים?
במרפאת ד"ר קלריסה מור-גן, המרכז הרב-תחומי לרפואת שיניים ושיקום הפה, אנו נתקלים במקרים רבים של נסיגת חניכיים בדרגות חומרה שונות – חלקם ניתנים לטיפול פשוט
כל מה שצריך לדעת על פלאק בשיניים
במרפאת ד"ר קלריסה מור-גן, המרכז הרב-תחומי לרפואת שיניים ושיקום הפה, אנו נתקלים כמעט מדי יום בתופעה מוכרת אך לא תמיד מובנת – פלאק בשיניים. מדובר
איך נוצרת אבנית בשיניים קדמיות
אצל רבים מאיתנו מצטברת עם הזמן שכבה לבנה-צהבהבה לאורך קו החניכיים, במיוחד בחלק הקדמי של הפה. מדובר בתופעה המוכרת בשם אבנית בשיניים הקדמיות, שהיא לא
מה גורם לנסיגת חניכיים בשן בודדת?
במרפאת ד"ר קלריסה מור-גן, המרכז הרב-תחומי לרפואת שיניים ושיקום הפה, אנו פוגשים מטופלים רבים שמגיעים עם תלונה על נסיגת חניכיים מקומית – כלומר, נסיגה שמתרחשת
מה גורם לנסיגת חניכיים ואיך עוצרים אותה?
נסיגת חניכיים היא תופעה נפוצה שעלולה להתפתח בהדרגה, לעיתים מבלי שנבחין בכך עד שמופיעות תסמינים מתקדמים כמו חשיפה של שורשי השיניים, רגישות מוגברת או שינוי
האם טיפול פלואוריד מומלץ למבוגרים?
במשך שנים רבות התרגלנו לשמוע על טיפול פלואוריד כחלק בלתי נפרד מטיפולי השיניים לילדים. אך כיום יותר ויותר מחקרים וניסיון קליני מראים כי גם מבוגרים
מה ההבדל בין טיפול אצל שיננית לרופא שיניים?
כשמדברים על טיפול דנטלי, רבים מתבלבלים בין השיננית לבין רופא השיניים, מבלי להבין את ההבדלים המשמעותיים בין שני התפקידים. כל אחד מהם עוסק בתחום שונה
מה קורה בביקור אצל השיננית?
ביקור קבוע אצל השיננית הוא חלק חשוב משגרת הטיפול הדנטלי, אך רבים לא מודעים למה מצפה להם במהלך הביקור. השיננית היא מומחית לטיפולי היגיינת הפה
איך לבחור שיננית מתאימה?
הבריאות הדנטלית שלנו תלויה לא רק בטיפולי שיניים של רופא מקצועי, אלא גם בטיפולים שוטפים שנעשים על ידי שיננית. חשוב מאוד לבחור שיננית מתאימה שתדע
מה עושה שיננית ואילו טיפולים היא מספקת?
טיפולי שיניים לא נגמרים רק בביקורים אצל רופא השיניים, וחשוב מאוד לשמור על שגרה נכונה של טיפולי תחזוקה באופן שוטף. אחד הגורמים המרכזיים לשמירה על
מדוע חשוב לבקר אצל שיננית באופן קבוע?
בקרת שיניים באופן קבוע אינה רק עניין של שמירה על היגיינה אישית, אלא גם חיונית לשמירה על בריאות השיניים והחניכיים בטווח הארוך. טיפול אצל שיננית
הקצעת שורשים: טיפוח חניכיים בריאות באמצעות דיוק וטיפול
שמירה על בריאות הפה האופטימלית כוללת יותר מסתם צחצוח ושימוש בחוט דנטלי. עבור אנשים המתמודדים עם מחלת חניכיים או בסיכון להופעתה, הליך המכונה הקצעת שורשים
העלאת בריאות הפה: התפקיד החיוני של טיפול שיננית
בתחום של טיפולי שיניים מקיפים, הגיבורים הבלתי מוזכרים מקבלים לעתים קרובות את התואר של שיננית. אנשי מקצוע מיומנים אלה ממלאים תפקיד מכריע בקידום בריאות הפה,
בריאות הפה לסטודנטים: שמירה על הרגלים בריאים
המכללה היא תקופה של עצמאות חדשה, ובזמן שאתה מנווט בין האחריות של החיים האקדמיים והחברתיים, זה חיוני לא להזניח את בריאות הפה שלך. הרגלי פה
בריאות שיניים בשנות ה-20 לחיים: מניעת בעיות ארוכות טווח
שנות ה-20 שלך הן תקופה מרגשת ולעתים קרובות עמוסה בחיים. בתוך בניית הקריירה, הפעילויות החברתיות והצמיחה האישית, חיוני לא להזניח את בריאות הפה שלך. פיתוח
טיפול פה בנשים בהריון: מה שאתה צריך לדעת
הריון הוא מסע מדהים, אבל הוא גם מביא לשינויים שונים בגוף האישה, כולל בריאות הפה. שינויים הורמונליים ושינויים בגוף יכולים להגביר את הסיכון לבעיות שיניים
טיפול שיניים חירום: טיפול בתקלות שיניים
מקרי חירום דנטליים יכולים להתרחש באופן פתאומי ובלתי צפוי, ולגרום לכאב, אי נוחות וחרדה. לדעת כיצד להתמודד עם תקלות שיניים ולחפש טיפול שיניים מהיר הוא
ניתוחי פה: למה לצפות וכיצד להתכונן
ניתוחי הפה מקיפים מגוון הליכים המבוצעים באזור הפה והלסת, מעקירות שיניים ועד השתלת שיניים וניתוח לסת מתקן. אם אתה אמור לעבור ניתוח פה, הבנה למה
בריאות הפה בשנות ה-30 וה-40 לחיים
ככל שאתה עובר לשנות ה-30 וה-40 שלך, שמירה על בריאות הפה הטובה הופכת חשובה יותר ויותר. ההרגלים שתקבע במהלך העשורים הללו יכולים להשפיע באופן משמעותי
אנדודונטיה: הבנת טיפול שורש
אנדודונטיה היא ענף מתמחה ברפואת שיניים המתמקד באבחון וטיפול בחלק הפנימי ביותר של השן, המכונה עיסת. כאשר העיסה נדבקת או ניזוקה, טיפול שורש הוא הליך
ניהול חרדה דנטלית: טכניקות
חרדה דנטלית היא בעיה שכיחה המשפיעה על אנשים רבים בכל הגילאים. זה יכול לנוע בין עצבנות קלה לפחד חמור ויכול למנוע מאנשים לפנות לטיפול שיניים
רפואת שיניים לילדים: טיפים לבריאות הפה של ילדים
טיפול בבריאות הפה של ילדכם חיוני לרווחתם הכללית. רפואת שיניים לילדים מתמחה בטיפול שיניים בתינוקות, ילדים ובני נוער. יצירת הרגלי היגיינת פה טובים בשלב מוקדם
רפואת שיניים קוסמטית: שיפור החיוך שלך
רפואת שיניים קוסמטית היא ענף מתמחה ברפואת שיניים המתמקד בשיפור מראה השיניים, החניכיים והחיוך הכללי. בעוד שרפואת שיניים מסורתית מטפלת בעיקר בבעיות בריאות הפה, רפואת

הסכנות בהזנחת היגיינת השיניים שלך
שמירה על היגיינת שיניים טובה אינה רק חיוך בהיר; זה חיוני לבריאות ולרווחה הכללית שלך. הזנחת היגיינת השיניים שלך עלולה להוביל לשורה של בעיות בריאות

שיפור טיפול הפה שלך: בחירת מברשת השיניים ומשחת השיניים הנכונות
אחד ההיבטים החשובים ביותר בשמירה על חיוך בריא הוא בחירת מברשת השיניים ומשחת השיניים הנכונות לצרכים שלך. במדריך מקיף זה, נדון בגורמים שיש לקחת בחשבון

הזנת החיוך שלך: השפעת התזונה והתזונה על בריאות הפה
בקליניקה שלנו אנו מבינים את החשיבות של תזונה בריאה ותזונה נכונה בקידום שיניים וחניכיים חזקות. הקרן לבריאות הפה: מזונות עשירים בחומרים מזינים תזונה מאוזנת ועשירה

פתיחת החיוך הבהיר ביותר שלך: מדריך מקיף להלבנת שיניים
הלבנת שיניים הפכה פופולרית יותר ויותר בשנים האחרונות, כאשר אנשים רבים מבקשים להשיג חיוך זוהר וזוהר יותר. בין אם זה נובע מהזדקנות, הרגלי חיים או

הלבנת שיניים
הלבנת שיניים היא אחד מהליכי השיניים האסתטיים המבוקשים ביותר, שנועדה להאיר ולהצעיר את החיוך שלך. עם הזמן, השיניים עלולות להשתבש או להכתים עקב גורמים כמו

סכנות הטבק: נקודת מבט של שיננית
שימוש בטבק הוא אחד מגורמי הסיכון המשמעותיים ביותר לבריאות פה לקויה, הגורם למגוון רחב של בעיות שיכולות להיות השלכות חמורות על החיוך והרווחה הכללית שלך.

בריאות הפה עם סוכרת: תובנות משיננית
כשיננית, ראיתי את ההשפעה המשמעותית שיכולה להיות לסוכרת על בריאות הפה. אנשים עם סוכרת נמצאים בסיכון מוגבר לפתח בעיות שיניים שונות, כולל מחלות חניכיים, עששת

חיוך בהיר יותר: היתרונות של הלבנת שיניים מקצועית
כשיננית, ראיתי ממקור ראשון את הכוח הטרנספורמטיבי של חיוך לבן ובהיר. אמנם קיימים אינספור מוצרי הלבנה ללא מרשם, אך לעתים קרובות הם לא מצליחים לספק

שמירה על בריאות הפה עם פלטה: ייעוץ של שיננית
טיפול יישור שיניים עם פלטה היא השקעה משמעותית בחיוך שלך, אך היא גם דורשת טיפול נוסף כדי לשמור על בריאות השיניים והחניכיים לאורך כל התהליך.

רגישות שיניים: טיפים משיננית
רגישות בשיניים עלולה להוות מטרד אמיתי, ולגרום לפעילויות יומיומיות כמו אכילה, שתייה ואפילו צחצוח שיניים לאי נוחות. כשיננית, אני נתקל לעתים קרובות במטופלים הנאבקים בסוגיה

מצבי חירום דנטליים: טיפים להקלה מיידית
הצעד הראשון בניהול מצב חירום דנטלי הוא להעריך את המצב ברוגע ובזהירות. אם אתה חווה כאבים עזים, נפיחות או דימום, חיוני לטפל בסימפטומים אלה באופן

תפיסות שגויות נפוצות לגבי היגיינת הפה
כשיננית, אני נתקלת בתפיסות שגויות שונות לגבי היגיינת הפה על בסיס יומי. מיתוסים אלו יכולים להוביל לשיטות טיפול שיניים לא נאותות, שעלולות לפגוע בבריאות הפה

טיפים לבריאות הפה לנשים בהריון
שמירה על בריאות הפה טובה היא חיונית עבור כולם, אך היא הופכת חיונית עוד יותר במהלך ההריון. כשיננית, ראיתי ממקור ראשון כיצד הריון יכול להשפיע

הבטחת בריאות הפה: תפקידן של בדיקות שיניים וצילומי רנטגן רגילים
במרפאתנו, אנו נותנים עדיפות לטיפול שיניים מקיף שמטרתו קידום בריאות הפה המיטבית עבור כל המטופלים שלנו. בדיקות שיניים וקרני רנטגן רגילות ממלאות תפקיד מכריע במאמץ

שליטה בהיגיינת הפה: המדריך לצחצוח צחצוח נכון
כשינניות, אנו נלהבים לקדם נוהלי היגיינת פה טובים המהווים את הבסיס לחיוכים בריאים. במרפאתנו, אנו נותנים עדיפות לחינוך והעצמה למטופלים כדי להבטיח בריאות שיניים מיטבית.

ייעול בריאות השיניים לקשישים: תובנות של שיננית
כשינניות, אנו מבינים את האתגרים הייחודיים של בריאות השיניים איתם מתמודדים קשישים עם הגיל. בקליניקה שלנו, אנו נותנים עדיפות לטיפול מקיף במטופלים בכל הגילאים, כולל

פתיחת הכוח של שימוש בחוט דנטלי: נקודת מבט של שיננית
במרפאתנו, אנו דוגלים בשיטות טיפול מקיפות בפה המקדמות בריאות שיניים מיטבית. שימוש בחוט דנטלי הוא היבט בסיסי של משטר זה, לעתים קרובות מתעלמים ממנו אך

טיפוח הרגלי בריאות הפה בילדים
בקליניקה שלנו אנו מבינים את החשיבות של ביסוס הרגלים טובים לבריאות הפה אצל ילדים מגיל צעיר. כשיננית, אנו ממלאים תפקיד מכריע בחינוך ההורים והילדים לגבי

התפקיד המהותי של שינניות
במרפאתנו אנו מתגאים במתן טיפול שיניים מקיף, תוך שימת דגש על תפקידם הקריטי של שיננית בטיפול מונע. אפילו בימי שישי, הצוות שלנו מוקדש לקידום בריאות

הבנת הצורך בעקירת שיניים כירורגית
הבנת הצורך בעקירת שיניים כירורגית במרפאתנו אנו נותנים עדיפות לבריאות השיניים ולרווחה. לכן אנחנו כאן בשבילכם, גם בימי שישי, כדי לתת מענה לכל דאגה שיש

ניווט במצבי חירום אורתודונטיים: פתרונות מהירים לבעיות נפוצות
מקרי חירום אורתודונטיים יכולים להתעורר באופן בלתי צפוי, הדורשים התייחסות מיידית כדי להקל על אי הנוחות ולמנוע סיבוכים נוספים. המרפאה שלנו, הפתוחה בימי שישי, מבטיחה

יישור שיניים במחיר סביר: אפשרויות במסגרת התקציב
השגת חיוך ישר יותר היא רצון נפוץ, אך מגבלות תקציב מובילות לעתים קרובות אנשים לבחון אפשרויות יישור שיניים במחיר סביר. פלטות מסורתיות: במחיר סביר הפלטה

טיפול בכתרים במהלך ההריון: ניווט בשיקולי שיניים עבור אמהות לעתיד
הריון הוא זמן של שמחה וציפייה, אבל הוא מגיע גם עם שיקולים ייחודיים לאמהות לעתיד. בריאות השיניים היא היבט אינטגרלי של רווחה כללית, ולבעלי כתרים

טיפול שורש ובריאות מערכתית: פירוק הקשר
טיפול שורש הוא הליך שיניים נפוץ שמטרתו לטפל בזיהומים או נזקים בתוך עיסת השן. בעוד שהמטרה העיקרית היא לשמר את השן הפגועה ולהקל על הכאב,

תפקידה של הטכנולוגיה בעקירות כירורגיות מודרניות: חידושים בטיפולי שיניים ברמת גן
רמת גן, עיר הידועה באימוץ התקדמות, מרחיבה את מחויבותה לחדשנות לתחום טיפולי השיניים. מדריך זה בוחן את תפקידה הטרנספורמטיבי של הטכנולוגיה בעקירות כירורגיות מודרניות, תוך

חרדה דנטלית: הבטחת עקירות כירורגיות נוחות ברמת גן
חרדה דנטלית היא דאגה שכיחה שיכולה להשפיע באופן משמעותי על אנשים העומדים בפני סיכוי לעקירות כירורגיות. ברמת גן, עיר הידועה בטיפולי השיניים המתקדמים שלה, יש

טיפוח בריאות הפה: מציאת שיננית בתל אביב
תל אביב, עיר תוססת, היא גם ביתם של מגוון שירותי בריאות, כולל טיפול שיניים מקיף. לשיננית תפקיד מרכזי בקידום בריאות הפה ובמניעת בעיות שיניים. במדריך
מתחת לפני השטח: חשיפת החשיבות של ניקוי חניכיים עמוק
ניקוי חניכיים עמוק, הידוע גם בשם אבנית והקצעת שורשים, חורג מניקוי שיניים שגרתי כדי לטפל בבעיות הנמשכות מתחת לקו החניכיים. הבנת ניקוי חניכיים עמוק: מה

מדריך לשמירה על היגיינת פה מיטבית
שמירה על היגיינת הפה היא חיונית לבריאות השיניים הכללית, וזה הופך חיוני עוד יותר במהלך טיפול יישור שיניים עם פלטה. במדריך זה, נחקור טיפים וטריקים

עזרה ראשונה לפציעות חניכיים: צעדים שיש לנקוט במקרה של טראומה
פציעות חניכיים עלולות להתרחש באופן בלתי צפוי, וכאשר לא מטפלים בה באופן מיידי, עלולות להוביל לאי נוחות וסיבוכים. לדעת כיצד להגיש עזרה ראשונה לפציעות חניכיים

רגישות שיניים לאחר הלבנה: טיפים למזעור אי נוחות
חיוך מסנוור ולבן הוא לעתים קרובות התוצאה הרצויה של הליכי הלבנת שיניים, אך עבור חלקם, המסע ללבן פנינה עשוי לבוא עם תופעת לוואי זמנית –

הקצעת שורשים: מדריך מקיף לטיפול בחניכיים
הקצעת שורשים היא הליך חניכיים בסיסי שנועד לטפל במחלות חניכיים ולשמור על בריאות הפה המיטבית. מהי הקצעת שורשים? הקצעת שורשים, המכונה גם ניקוי עמוק, היא

הבנה וטיפול בכאבי חניכיים: מדריך להקלה
כאבי חניכיים הם בעיה נפוצה בבריאות הפה שיכולה לנוע בין אי נוחות קלה לכאב חמור. זה יכול להיגרם על ידי גורמים שונים, כולל זיהומים, פציעות

ניווט במסע השיניים שלך: רופאי שיניים מומלצים ברמת גן
בחירת רופא שיניים מומלץ ברמת גן כרוכה בגישה מחושבת ושיטתית על מנת להבטיח קבלת טיפול שיניים איכותי. להלן השלבים שיעזרו לך למצוא ולבחור רופא שיניים
קיבוע שיניים: סוגים וחשיבות
קיבוע שיניים מתייחס לייצוב או עיגון של שיניים כדי להבטיח יישור נכון, תפקוד ואריכות ימים. היבט מכריע זה של רפואת השיניים ממלא תפקיד משמעותי בטיפולי

ניקוי עמוק: טיפוח בריאות הפה באמצעות טיפול חניכיים יסודי
שמירה על בריאות הפה האופטימלית חורגת מעבר לצחצוח רגיל וחוט דנטלי, במיוחד עבור אלו המתמודדים עם אתגרי מחלות חניכיים. ניקוי עמוק, הידוע גם בשם אבנית

עלות של הקצעת שורש: מדריך מחירים לבריאות השיניים
הקצעת שורשים היא הליך דנטלי שנועד לטפל במחלות חניכיים על ידי ניקוי יסודי של שורשי השיניים להסרת רובד ואבנית. כאשר אנשים שוקלים להשקיע בבריאות הפה

שיננית מהיום להיום: גישה נוחה לבריאות הפה
בעולם המהיר בו אנו חיים, מציאת זמן לטיפול רפואי חיוני, כולל פגישות לרופא שיניים, עשויה להיות מאתגרת. מתוך הכרה בכך, חלק ממרפאות השיניים מציעות כיום

מדריך מקיף לניהול טיפול שיניים חירום: מפת הדרכים שלך להקלה מיידית
טיפול שיניים חירום יכולים להיות מטרידים, ולעתים קרובות תופסים אותנו לא מוכנים עם כאב ואי נוחות בלתי צפויים. אנו מכירים בדחיפות של מצבים אלו ומחויבים

שליטה באמנות ניקוי אבנית בשיניים: מדריך לחיוך בריא יותר
שמירה על היגיינת פה מיטבית היא חיונית לחיוך בריא, והיבט משמעותי בכך הוא הסרת רובד השיניים. אבנית בשיניים, סרט דביק של חיידקים שנוצר על השיניים,

למצוא את החיוך שלך: מדריך למציאת אורתודנט ברמת גן
יציאה למסע להשגת חיוך בטוח ובריא כרוכה בבחירת האורתודנט המתאים. בעיר התוססת רמת גן, בה מצוינות בשיניים עומדת בראש סדר העדיפויות, מציאת איש מקצוע יישור

התגברות על חרדה דנטלית: הסרת שיניים כירורגית
חרדה דנטלית היא תחושה נפוצה ומובנת שאנשים רבים חווים כאשר עומדים בפני כל הליך דנטלי, במיוחד הסרת שיניים כירורגית. הסיכוי לניתוחי פה יכול להיות מרתיע,

מדריך מקיף לניקוי שיניים
ניקוי שיניים רגיל, הידוע גם בשם מניעת שיניים, הם חלק בסיסי בשמירה על בריאות הפה המיטבית. ניקויים מקצועיים אלו, המבוצעים על ידי שיננית או רופאי

חוט דנטלי לחניכיים בריאות – טכניקות
חוט דנטלי הוא מרכיב חיוני בשגרת היגיינת פה מלאה, והוא ממלא תפקיד משמעותי בשמירה על בריאות החניכיים. שימוש בחוט דנטלי נכון מסיר חלקיקי מזון ורובד

תזונה ובריאות שיניים: מזונות שיש להימנע מהם ולאמץ אותם
לתזונה שלך יש תפקיד משמעותי בבריאות הכללית שלך, כולל בריאות הפה שלך. מה שאתה אוכל ושותה יכול להשפיע על בריאות השיניים והחניכיים שלך. במאמר זה,

בחירת מברשת השיניים ומשחת השיניים הנכונות לבריאות הפה שלך
כשמדובר בשמירה על היגיינת פה מצוינת, בחירת מברשת השיניים ומשחת השיניים הנכונים היא חשיבות עליונה. מוצרי הפה היומיומיים הללו ממלאים תפקיד חיוני בשמירה על בריאות

החשיבות של בדיקות שיניים סדירות: כיצד רופאי שיניים מקדמים טיפול מונע
בדיקות שיניים סדירות הן הבסיס לבריאות פה טובה ולרווחה כללית. לשיננית תפקיד מכריע בקידום טיפול מונע ועידוד חולים לתעדף את בריאות הפה שלהם. במאמר זה

מדריך השינניות לטכניקות צחצוח שיניים נכונות
כשינניות, אנו מבינים את התפקיד הקריטי שמשחקות טכניקות צחצוח וחוט דנטלי נכונות בשמירה על בריאות הפה המצוינת. אימוץ שיטות הצחצוח והשימוש בחוט דנטלי הנכונים חיוניים

טיפים להיגיינת פה לחיוך מואר יותר: ייעוץ מומחים של רופאי שיניים
חיוך בהיר ובריא הוא לא רק אסתטי אלא גם משקף בריאות הפה. לשיננית, כמומחית לטיפול פה מונע, תפקיד חיוני בסיוע למטופלים להשיג ולשמור על חיוך

הבנת רובד שיניים: כיצד רופאי שיניים עוזרים להסיר ולמנוע הצטברות
רובד שיניים הוא סרט דביק וחסר צבע של חיידקים שנוצר על השיניים ולאורך קו החניכיים. זהו דאגה נפוצה לבריאות הפה, ואם לא מטפלים בה, עלול

תפקידה של השיננית במניעת מחלות חניכיים: עצות לשמירה על בריאות חניכיים
מחלת חניכיים, הידועה גם כמחלת חניכיים, היא מצב בריאותי פה שכיח המשפיע על החניכיים והמבנים התומכים של השיניים. זה יכול להוביל לתוצאות חמורות, כולל אובדן

הקשר בין בריאות הפה לבריאות כללית: תובנות של שיננית
כאנשי מקצוע בתחום רפואת השיניים המתמחים בבריאות הפה, לשיננית יש נקודת מבט ייחודית על הקשר החזק בין בריאות הפה לבריאות כללית. במהלך השנים, מחקרים הראו

התגברות על חרדה דנטלית: כיצד אפשרויות הרגעה הופכות השתלות שיניים לחוויה נטולת מתח
עבור אנשים רבים, המחשבה לעבור טיפולי שיניים, כולל השתלת שיניים, יכולה לעורר תחושות של חרדה ופחד. חרדה דנטלית היא דאגה שכיחה שמונעת מאנשים מסוימים לפנות

טיפול אצל שיננית: קידום בריאות הפה ומניעת בעיות דנטליות
לשיננית תפקיד חיוני בשמירה על בריאות הפה ומניעת בעיות שיניים. אנשי מקצוע מיומנים אלה עובדים בשיתוף פעולה הדוק עם רופאי שיניים כדי לספק טיפולי שיניים

גז צחוק בטיפול שיניים
גז צחוק, הידוע גם בשם תחמוצת החנקן, הוא שיטת הרגעה נפוצה בטיפולי שיניים. זהו גז חסר צבע וריח המעורבב עם חמצן ונשאף דרך מסכה המונחת

ניקוי עמוק: שיקום בריאות הפה באמצעות טיפול חניכיים יסודי
ניקוי עמוק, המכונה גם טיפול אבנית והקצעת שורשים, הוא הליך שיניים חיוני המתמקד בטיפול במחלות חניכיים ושיקום בריאות הפה. זה כולל ניקוי מקיף של השיניים,

טיפים לשמירה על בריאות הפה במהלך ההריון
שמירה על בריאות הפה במהלך ההריון היא חיונית הן לאם והן לתינוק. שינויים הורמונליים וזרימת דם מוגברת במהלך ההריון יכולים להפוך נשים לרגישות יותר לבעיות

מקרי חירום דנטליים: מה לעשות כאשר מתרחשות תקלות שיניים
מקרי חירום דנטליים יכולים להתרחש באופן בלתי צפוי ודורשים טיפול מיידי כדי למנוע נזק נוסף ולהקל על הכאב. לדעת איך להתמודד עם תקלות שיניים יכול

השפעת העישון על בריאות הפה: הבנת הסיכונים
עישון מוצרי טבק לא רק מהווה סיכונים חמורים לבריאות הכללית, אלא יש לו גם השפעות מזיקות על בריאות הפה. החל משינוי צבע בשיניים ועד למחלות

טיפים לטיפול שיניים לילדים: הקניית הרגלים בריאים מגיל צעיר
ביסוס הרגלי טיפול שיניים טובים בילדים הוא חיוני לבריאות הפה שלהם לטווח ארוך. על ידי לימוד טכניקות טיפול שיניים נכונות והקניית הרגלים בריאים מגיל צעיר,

תפקידה של גנטיקה בבריאות השיניים: הבנת פרופיל בריאות הפה הייחודי שלך
כשזה מגיע לבריאות השיניים, לגנטיקה יש תפקיד משמעותי בקביעת הרגישות שלנו למצבים ומחלות פה מסוימות. הבנת השפעת הגנטיקה על בריאות הפה שלך יכולה לעזור לך

היתרונות של רפואת שיניים קוסמטית: שיפור החיוך שלך והגברת הביטחון
רפואת שיניים קוסמטית מציעה מגוון רחב של טיפולים והליכים שנועדו לשפר את מראה החיוך שלך. מעבר לשיפורים אסתטיים, לרפואת שיניים קוסמטית יכולה להיות גם השפעה

כיצד לבחור את מברשת השיניים ומשחת השיניים הנכונות לבריאות הפה שלך
בחירת מברשת השיניים ומשחת השיניים הנכונות חיונית לשמירה על היגיינת הפה. עם כל כך הרבה אפשרויות זמינות, זה יכול להיות מכריע לעשות את הבחירה הטובה

הבנת נהלים דנטליים נפוצים: מדריך למטופלים
ביקור אצל רופא השיניים לצורך טיפולי שיניים שונים יכול להוות מקור לחרדה עבור מטופלים רבים. עם זאת, הבנה ברורה של הליכים דנטליים נפוצים יכולה לעזור

ניקוי חניכיים: חשיבות, שיטות וטיפים לשמירה על בריאות חניכיים
ניקוי חניכיים, המכונה גם טיפוח חניכיים או היגיינת חניכיים, הוא היבט חיוני לשמירה על בריאות הפה המיטבית. בפוסט זה נחקור את החשיבות של ניקוי חניכיים,

טיפול בדלקת חניכיים: ניהול והיפוך מחלת חניכיים מוקדמת
דלקת חניכיים, השלב המוקדם של מחלת חניכיים, היא מצב שכיח המשפיע על בריאות החניכיים. למרבה המזל, זה הפיך עם טיפול נאות ושיטות היגיינת הפה. במדריך

ניקוי חניכיים עמוק: הבנת אבנית והקצעת שורשים לטיפול במחלות חניכיים
ניקוי חניכיים עמוק, הידוע גם בשם אבנית והקצעת שורשים, הוא הליך נפוץ המשמש לטיפול במחלות חניכיים ולשמירה על בריאות הפה. בפוסט זה, נחקור את מטרת

6 טיפים למניעת נסיגת חניכיים
נסיגת חניכיים היא בעיה דנטלית שכיחה שיכולה להוביל לכאבים חזקים ולאובדן שיניים. במאמר זה, נדון בכמה צעדים שתוכל לנקוט כדי למנוע נסיגת חניכיים ולקדם את

סיבות ופתרונות לריח רע מהפה
אף אחד לא אוהב להיות מוכר כאדם עם ריח רע מהפה. ריח רע מהפה, המכונה גם הליטוזיס, יכול להיות בעיה משמעותית עבור כל אחד. הנושא

5 דברים שאתם צריכים לדעת על הלבנת שיניים
שיניים בהירות ולבנות יכולה להשפיע לטובה על הביטחון העצמי וההערכה העצמית שלך. אין זה פלא שהלבנת שיניים היא אחת ההליכים הקוסמטיים הפופולריים ביותר. אצלנו, המטופלים

מה השיניים שלך אומרות עליך?
שמירה על בריאות פה טובה חיונית כדי למנוע סיבוכים דנטליים כואבים. עם זאת, בריאות פה לקויה יכולה גם להעיד על מצב בריאותי בסיסי בחלק אחר

ניפוץ מיתוסים נפוצים על שיניים
בריאות פה טובה חיונית לבריאות הכללית, אך עם הזמן צצו מיתוסים רבים שעלולים לערער קשות את טיפול השיניים. אצלנו במרפאה, אנחנו שומעים לעתים קרובות את

5 סיבות למה אתם צריכים ניקוי שיניים מקצועי אצל שיננית
שמירה על היגיינת פה טובה חיונית לאורח חיים בריא. חלק מכריע בשמירה על בריאות הפה הטובה הוא ניקוי שיניים קבוע. אם לא ראית רופא שיניים

הקצעת שורשים: טיפול חיוני למחלות חניכיים
מחלת חניכיים, הידועה גם בשם דלקת חניכיים, היא מצב בריאותי פה שכיח המשפיע על מיליוני אנשים ברחבי העולם. זהו זיהום חיידקי שעלול לגרום לדלקת ולנזק

ניקוי אבנית אצל שיננית
שמירה על בריאות הפה הינה חיונית לרווחה הכללית, ובדיקות שיניים קבועות הן חלק בלתי נפרד מהגיינת הפה. לשיננית תפקיד מכריע בניקוי אבנית מהשיניים, וחשוב להבין

שיננית ברמת גן – למה חשוב לקבוע טיפול שיננית כל חצי שנה?
היגיינת הפה היא חיונית לרווחה הכללית, ושיננית ממלאת תפקיד מכריע בשמירה על בריאות הפה. שיננית ברמת גן היא איש מקצוע מיומן המתמחה בניקוי ותחזוקה של

הלבנת שיניים – למה חשוב לבצע את זה בצורה מקצועית במרפאת שיניים?
חיוך בהיר ולבן הוא משהו שאנשים רבים רוצים. הלבנת שיניים היא אחד מטיפולי השיניים הקוסמטיים הפופולריים ביותר, עם מגוון רחב של שיטות זמינות לסייע בהלבנת

חרדה דנטלית – איך רופאי שיניים יכולים לעזור?
חרדה דנטלית היא פחד שכיח שיכול למנוע מאנשים לפנות לטיפול שיניים מתאים. פחד זה יכול להיות אצל ילדים ומבוגרים כאחד ויכול להוביל לפספוס של פגישות

ריח רע מהפה
מהם הגורמים לריח רע מהפה? הליטוזיס במונחים טכניים, היא מחלת נשימה כרונית. זו תופעה מאוד לא נעימה למי שסובל הן מבחינה אישית והן מבחינה חברתית.

הקצעת שורש: דרך רפואית להציל את החניכיים שלך
כאשר נורית האזהרה במכונית שלנו נדלקת, אנו יודעים שאולי הגיע הזמן לפנות למוסך. הפה שלנו, לעומת זאת, הוא סיפור קצת יותר מסובך. רוב האנשים יסבלו

הסרת אבנית זה לא רק בשביל חיוך מושלם – איך חניכיים בריאות יכולות לעזור לגוף בריא?
עם היגיינת פה לקויה, השיניים עלולות להינזק והחניכיים עלולות להיות דלקתיות. זה יכול להוביל למחלות חניכיים ואובדן שיניים, שאף אחד מאיתנו לא רוצה. רוצים נפש

ריח רע מהפה – גורמים והתמודדות
מהי הדרך הטובה ביותר לדעת אם יש לי ריח רע מהפה? כיצד להתמודד עם ריח רע מהפה הנובע מאזור הפה? האם ריח רע מהפה הוא

נסיגת חניכיים
בריאות הפה והשיניים משפיעות על רמות חיים שונות. שיניים בריאות מאפשרות לנו לאכול את כל האוכל שאנו רוצים, לדבר ברור, וכשהן בריאות, הביטחון העצמי שלנו

עששת – גורמים וכיצד מונעים?
עששת דנטלית היא מחלה זיהומית המאופיינת בחלל הפה. זיהומים מובילים להרס של שיניים, שורשים וחניכיים על ידי הרס הרקמה הקשה. למעשה, עששת עלולה לגרום לנזק

הלבנת שיניים – פרטים מעניינים
החיוך שלך הוא כרטיס הביקור שלך. לא ניתן לכמת את ערכו. כשהחיוך מלא בשיניים לבנות ומבריקות, לצד השני כבר יש את הרושם הראשוני.

זיהוי וטיפול בדלקת חניכיים
מחלה או דלקת בחניכיים, טעם רע עלול להתפתח בפה, השיניים הופכות רגישות ולכן המזונות שאנו יכולים לחתוך עם השיניים מוגבלים, והדיווחים הכלליים עוסקים באי נוחות.

טיפולי שיננית – למה לקבוע תור לילדך?
החופש הגדול מגיע לסיומו ואנחנו מתחילים לחגוג עוד צעד קדימה. כיתה א', השנה האחרונה בגן, עשויה להיות רק עוד עליית כיתה מרגשת. חוץ מהליכה לבית

שיני בינה – האם לעקור אותן או לא?
כשמדובר בשיני בינה, מספר תיאוריות הפכו למיתוסים עבור מטופלים. לעקור או לא לעקור? שווה או לא? אבל מה אם הכאב גדול מדי וזמן ההחלמה ארוך?

הלבנת שינייים בבית או הלבנה מקצועית אצל רופא?
כולנו רוצים ליהנות מהחיוך המושלם. לחייך מאוזן לאוזן מבלי להתבייש מהשיניים שלנו, שנהיו בצבעים מעט שונים לאורך השנים. כיום, בעזרת מגוון טכניקות, תכשירים וטיפולים, ניתן

הלבנת שיניים – איך לשמור על תוצאות לאורך זמן
טיפולי הלבנת שיניים הפכו בשנים האחרונות לחלק בלתי נפרד מהטיפול היומיומי עבור רבים מאיתנו. אחת לכמה שנים או חודשים, בהתאם למצב השיניים, אנו מגיעים לטיפול

לפני שפונים לרופא השיניים: קודי התנהגות לשמירה על שיניים לבנות
הרצון ליהנות מחיוך מושלם הוביל אנשים רבים לעבור טיפולי הלבנת שיניים. עוד לפני הטיפול הקוסמטי הפופולרי הזה, כדאי לבקר באופן קבוע אצל רופא השיניים ולקבל

איך להקל על הילדים ללכת לרופא השיניים?
עבור מבוגרים החוששים באופן טבעי מהמצב, פנייה לרופא השיניים יכולה להיות משימה לא נעימה. לילדים, חשוב להפוך את רופא השיניים של ילדכם למהנה ומרגיע מההתחלה,

עששת – מיתוסים
כמו כל מחלה או תחושה לא נעימה בגוף, הגורמים, הטיפולים והתהליכים המובילים לעששת מלאים במיתוסים. אנחנו שומעים חצי מהסיפור, כותבים מאמרים לא מבוססים ומקבלים מידע

סריקה דיגיטלית דנטלית
סריקה דיגיטלית היא עותק מחשב תלת מימדי של נתוני השיניים והחניכיים. הוא מחליף את השיטות הישנות (כגון פלסטלינה) ויציקות גבס ששימשו בעבר ליצירת סריקות. סריקה

עששת ושיניים רקובות – מה הגורמים?
מעט איברים מתמודדים עם סכנות ואיומים רבים כמו השיניים שלנו. השיניים נמצאות בלחץ אדיר מדי יום ללעוס ולעבד את המזון שאנו מכניסים לגופנו, הן נוטות

טיפול שיניים: האם זה באמת הכרחי?
ניתן לענות על השאלה בכותרת בשתי מילים: בהחלט כן 😊 הסיבה לכך שטיפול שיניים חשוב כל כך בחיי היומיום שלנו היא שלעתים קרובות הוא מראה

מהי אסתטיקת שיניים? רפואת שיניים קוסמטית
השיניים שלנו הן איברים פונקציונליים חשובים שבהם אנו משתמשים בעיקר ללעיסה ולדיבור. אבל לא תמיד אנחנו מבינים שהשיניים הן הרבה יותר מזה. החיוך שלנו הוא

כיצד משפיעה האבנית על בריאות הפה?
בדיוק כפי שמצטברת אבנית בקומקום שלך שדורשת ניקוי מדי פעם אך לא ניתן למנוע אותה, התערובת העיקשת הזו של חיידקים, מלח, זרחן וסידן הצטברה על

צחצוח שיניים
צחצוח יומיומי הוא הדרך לשמור על בריאות הפה והגוף. כאשר אתה מצחצח שיניים כמו שצריך, הרובד והחיידקים המצטברים על השיניים נעלמים. הקפדה על היגיינת שיניים

כאבי שיניים – כל הסיבות
כאב שיניים יכול להיות נחלתם של כולם, מילדים ועד מבוגרים, שיכולים להתחיל בלעיסת חתיכת שוקולד קטנה או שתיית משקה ממותק. כך או כך, כאב שיניים

שיניים צהובות – כל מה שרציתם לדעת
בעוד שסלבריטאים ודוגמניות יכולים להשוויץ בשיניים לבנות, לרוב האנשים אין את החיוך הבהיר הזה. אבל זה לא צריך להיות מפתיע מדי. מספר דברים יכולים להשפיע

צחצוח שיניים – איך עושים את זה?
עד כמה שזה נשמע מגוחך, אחרי כל כך הרבה שנים של צחצוח שיניים – אנחנו לא יודעים איך לצחצח שיניים, תתפלאו שלא כולם מכירים את

ניקוי אבנית – למה זה חשוב?
במשך עשרות שנים הבנו את חשיבות הטיפול במניעת מחלות שיניים ומחלות פה והשפעותיהן השליליות. הטיפול המונע הטוב והשימושי ביותר הקיים כיום הוא הסרת אבנית, אשר

שיננית בתל אביב
אתם לא זוכרים מתי הייתה הפעם האחרונה שבה ביקרתם אצל שיננית בתל אביב? אם כך, בהחלט יכול להיות שעכשיו הגיע הזמן לעשות את הטיפול החשוב

שיננית ברמת גן
מחפשים שיננית ברמת גן שתהיה כמה שיותר מקצועית? עד היום לא לגמרי הייתם מרוצים בכל פעם כשעשו לכם טיפולי שיננית ואתם תוהים כיצד נכון יהיה

הקשר בין מחלות חניכיים לסיכונים רפואיים בלב
הקפדה על היגיינת השיניים והחניכיים תורמת לא רק לאיכות החיים, אלא גם לבריאות הכללית, כפי שהתגלה בשנים האחרונות. מספר מחקרים בתחום המיקרוביולוגיה הוכיחו שישנו קשר

הקשר בין מחלות חניכיים למחלת הסוכרת
מחלות חניכיים משפיעות על למעלה מ-80% מהאוכלוסייה כאשר יש אוכלוסיות אשר רגישות יותר לבעיות הנוצרות כתוצאה מבעיות בחניכיים, כמו חולי סוכרת. כיום ידוע שישנו קשר

פריוצ'יפ – שבב הפלא שעושה מהפיכה בעולם רפואת השיניים
מחלות חניכיים תוקפות את מרבית האוכלוסייה בשלב זה או אחר, ואחד הגורמים המרכזיים למחלות מהסוג הזה הן דלקות כרוניות בחלל הפה. כדי לפתור את הבעיה

יעילות תוספת פלואור בסיום טיפול שיניים
יעילות תוספת פלואור בסיום טיפול הסרת האבנית כל מי שביקר אי פעם אצל שיננית מכיר את השאלה "להוסיף פלואוריד?" שנשאלת לפני או לקראת סוף הטיפול.

טיפים לציחצוח נכון של השיניים
אנשים רבים אינם יודעים זאת, אך צחצוח שיניים אינו מתחיל ונגמר רק בצחצוח עצמו, ישנם אלמנטים נוספים שמשפיעים על הצחצוח ועל היגיינת הפה. שימוש במרשת

השפעת אבנית על ריח רע מהפה
מחקרים מראים כי אחד מכל ארבעה אנשים סובל מריח רע מהפה במשך היום. מקור הבעיה יכול להיווצר כתוצאה מגורמים רבים, כשהגורם העיקרי הוא חיידקים ואבנית





